내 전부인 토비
토비는 8년 8개월차이다.
나랑 20대 중반부터 30대 초까지
나를 키워준 토비가 아프댄다

목에 멍울이 느껴졌다.
지방종이나 침샘종이겠지
그렇게 안일하게 생각했다.
마침 연휴였고 병원을 갔는데
림포마가 의심된다고했다.
청천벽력이었다. 이렇게 건강한데요?
토비는 아침저녁 꾸준히 산책하는 강쥐이다.
식욕도있고 활발하고 8살이라 조금 기운없을 뿐이지
늘 밝고 다리도 튼튼했다.
[혈액검사]

[세침검사]

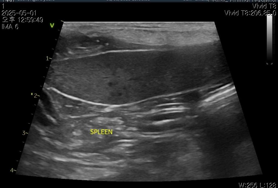
[초음파]






[엑스레이]




그 누군가가
림프종이 아닐 수 있다
댓글 하나라도 남겨줬으면 하는 바람에
검진결과를 공개해본다.

저희 토비 진짜 건강해요
림프종 림포마가 아닐
확률 1%센트라도 좋으니
살 방법 있다고 제발 말해주세요..
| 코스트코 상봉점 5월 주방용품/생활용품/등산용품 추천템 (0) | 2025.05.18 |
|---|---|
| 모스콧 안경 구매 후기 (금자안경 고민) (2) | 2025.04.01 |
| 강남구청역 조화로움 윤곽관리 및 상담 후기(시설, 프로그램, 후기) (1) | 2025.04.01 |
| 첼로 꾸미기 첼로 스탬퍼 구매 후기 (0) | 2025.03.14 |
| [어니스트 서울] 까르띠에 다무르 대체템 랩다이아 귀걸이 개봉기 (1) | 2025.03.12 |